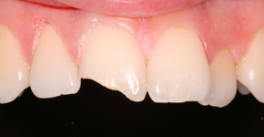
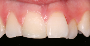
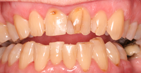
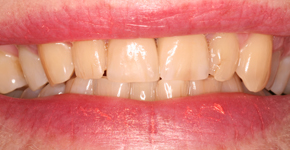
Using the latest techniques and materials available we are able to provide our patients with high quality white fillings to help enhance your smile.
When you smile or laugh are your silver fillings obvious? Many patients choose to replace their discoloured silver or mercury fillings with clean looking "invisible" white fillings. For further information please speak to your dentist who will discuss the best options for you.








