contact form

treatments - cosmetic dentistry - crowns

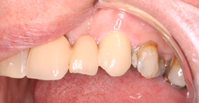
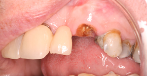
Cosmetic dentistry can also involve restorations like porcelain crowns that match the colour of your natural teeth while repairing a damaged tooth so that it functions properly.

Before
After

Cosmetic Braces

A fast cosmetic treatment to improve your smile and confidence

Find out more

Anxious Patients

You no longer have to be afraid of the dentist

 

Find out more

Dental Implants

Replace missing teeth with affordable Dental Implants

 

Find out more