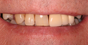
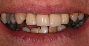
In today's image conscious world first impressions are very important, whether it be in a social or work environment. Our smiles are one of the first things that people see and can say so much about a person. A healthy, positive smile can make someone appear confident, affluent and successful, which makes them more attractive to know and be around.
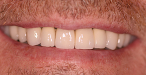
Each smile design is unique and tailor-made to you. Your initial consultation will allow you to discuss what you want with the dentist in an informal manner and allow you to see what is achievable.
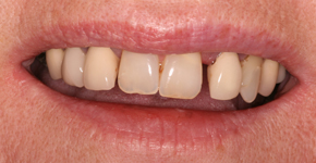
How will a smile design help me? - Click here to read patient testimonials












